В Борском районе завелся живодер, который расстреливает котят
- 25 июня 19:30
- Алиса Гусарь

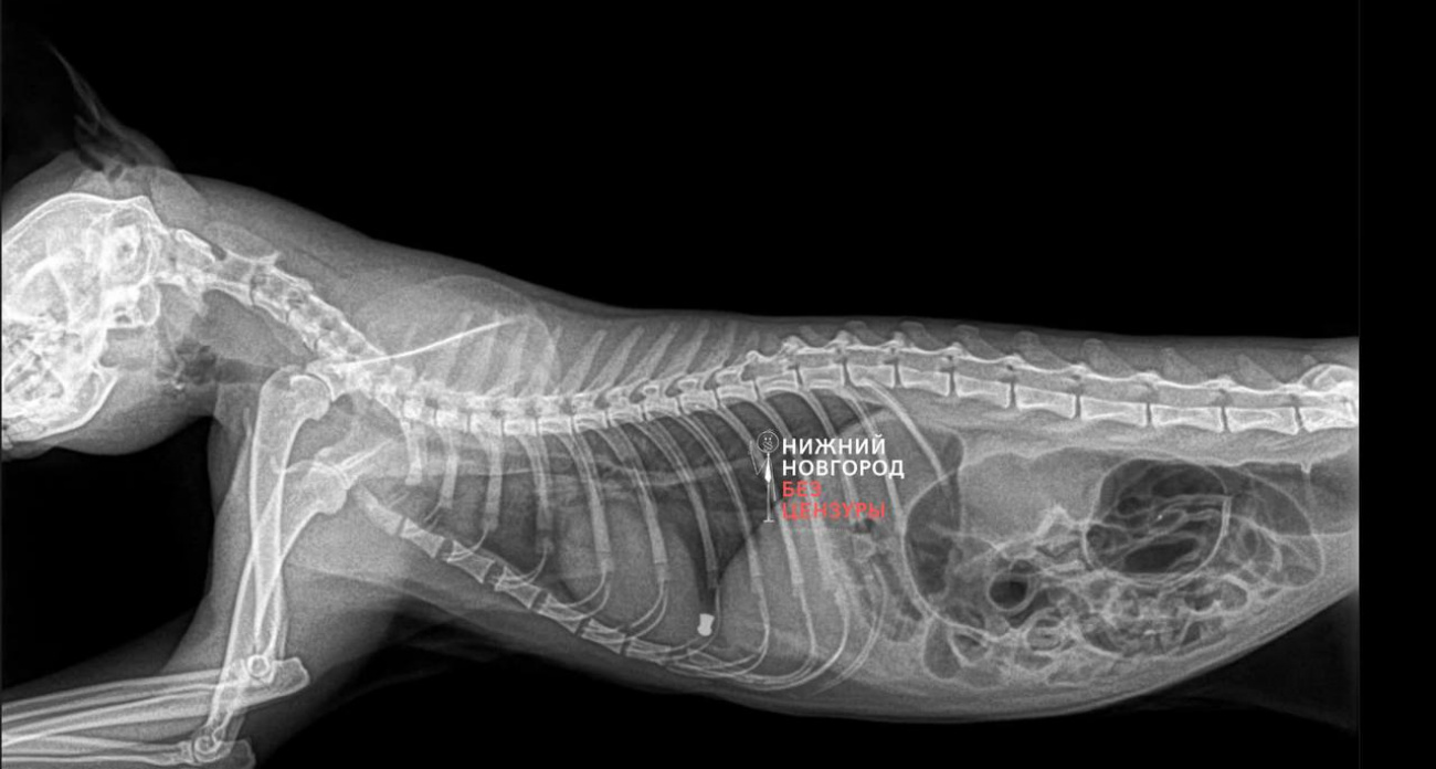
В Борском районе неизвестный житель стреляет по кошкам. Несколько животных оказались ранены. Об этом сообщает Telegram-канал "Нижний Новгород БЕЗ ЦЕНЗУРЫ".
По словам местных жителей, один кот получил пулю в лапу, у другого обнаружили металлический предмет в животе, потребовалась срочная операция. Жители отмечают, что подобные случаи происходят не впервые. По их словам, жалоб на стрельбу по животным становится все больше, и пострадавших котов уже несколько.
Особенно возмутились хозяева, которые нашли своего животного с пулей в животе. В обращении к местным властям люди задаются вопросами о происшествии. Спрашивают, сколько это еще будет продолжаться и почему они из-за растущих живодеров должны лечить и хоронить их любимых питомцев.


